В Татарстане хирурги РКБ удалили крупное образование из грудной клетки 75-летней женщины. Об этом сообщает пресс-служба медучреждения.
В конце прошлого года у пациентки возникли проблемы с дыханием, кашель, трудности при глотании пищи и постоянные боли в груди.
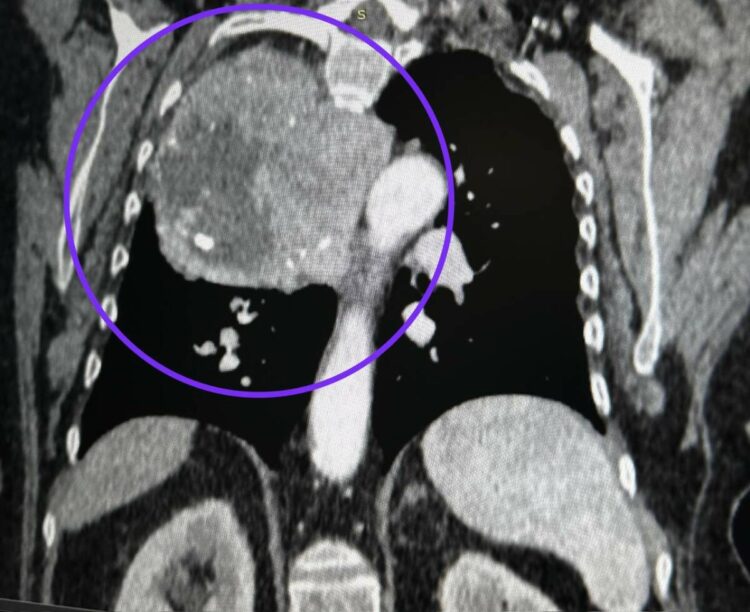
В 2017 году подобные симптомы привели к выявлению аномально увеличенной щитовидной железы, расположенной в нетипичном месте, что потребовало удаления опухоли и большей части железы. На этот раз опухоль выросла из нижнего полюса щитовидной железы и заняла треть грудной клетки.
По словам врачей, такой случай встречается в их практике впервые. Операция прошла успешно: опухоль была удалена через разрез между ребрами, на выполнение процедуры ушло три часа.
В настоящее время пенсионерка находится дома, чувствует себя хорошо и искренне благодарит врачей.
Ранее мы писали, что врачи РКБ Татарстана провели 60 операции в больницах Запорожской области.
Будьте в курсе актуальных событий! Вступайте в Telegram-канал Вести Татарстан, подписывайтесь на наш Дзен, группу в ВК и ОК










